특허받은 석회분쇄흡입술
형성기- 유지기- 흡수기 모든 단계의 석회를 조직 손상 없이 분쇄 후 주사기로 흡입하여 제거합니다.
주사 흡입술로만 제거되지 않던 단계의 석회 제거를 위해 특수 시술 기구를 직접 개발하여 특허받았습니다.
조직 손상 없이, 피부 절개 없이 주사바늘만한 포털로 석회를 정밀 관찰 타켓팅하여
안전하게 몸 안의 석회 제거가 가능합니다.
플래티넘 정형외과는 가능합니다.
- 수술 없이 비수술로 100% 치료
-
견주 관절 전문의가 수술만큼 효과적으로
신체에 부담 없이 비수술 치료로 석회를 제거합니다.
- 단 한 번의 치료로 석회 제거 가능합니다.
-
다양한 술기와 경험을 바탕으로
근육, 인대, 조직층 사이에 숨은 석회까지 제거합니다.
- 시술 후 다음날부터 일상생활 복귀가 가능합니다.
-
시술 당일 엑스레이를 통해 주사기로
흡입, 제거된 석회를 확인할 수 있습니다.
단 한번의 비수술 치료로!
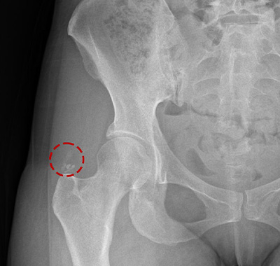
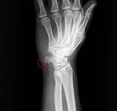
석회분쇄흡입술 전/후
단 한번의 비수술 치료로!
석회분쇄흡입술 전/후
석회성건염은 칼슘 퇴적물이 관절의 힘줄에 침착되며 염증과 통증을 유발하는 질환입니다.
석회성건염은 어깨, 팔꿈치, 고관절, 무릎, 손목. 발목 등 다양한 관절에 발생합니다.
플래티넘 정형외과는
모든 석회 단계를 비수술 치료하는 유일한 병원입니다.
모든 단계의 석회 제거 가능
플래티넘 정형외과에서는 형성기, 유지기, 흡수기의 모든 단계 석회를
본원만의 독자적인 노하우와 특허받은 도구를 이용해 제거 합니다.
-
- 형성기 석회 제거용 주사기
-
힘줄 내 석회가 형성되는 시기로
통증이 발생하는 경우도 있지만
대부분은 통증이 없습니다.
-
- 휴지기 석회 제거용 주사기
-
석회화가 진행되면서 힘줄 내
석회형성이 유지되는 시기로 증상을
느끼지 못하는 경우도 있습니다.
-
- 흡수기 석회 제거용 주사기
-
석회가 흡수되며 분해되는 시기로
극심한 통증이 발생합니다.
빠르고 근본적인 비수술 치료법
석회성건염으로 통증이 극심하다면 체외로 제거하는 것이 빠른 치료입니다.
비수술 또는 수술로 제거하느냐의 차이일 뿐입니다.
-
타병원 석회제거 실패한 경우
-
본원 시술후 당일 바로 없어진 석회
어떤 단계의 석회든 99% 제거
유지기, 형성기 단계의 석회는 일반적인 주사 흡입술로 제거가 되지 않습니다.
통증이 심한데 유지기, 형성기 단계라 주사 흡입술이 불가능하다,
충격파 치료하면서 증상의 호전을 기다려도 된다는 병원들도 있습니다.
하지만 사실이 아닙니다.
특수 기구와 노하우만 있다면 어떤 단계의 석회이던 99% 석회 제거가 가능합니다.
플래티넘 정형외과에서는 초음파, C-Arm 장비를 사용하여
조직 손상이 생기지 않는 범위 내에서 최대한 석회를 제거합니다.
주사 흡입술이 아닙니다!
석회”분쇄” 흡입술 입니다.
플래티넘 정형외과에서는 특허받은 치료 도구를 이용해 석회를 분쇄하여
주사 흡입 후 제거합니다.
대부분의 병원에선 석회를 주사기 끝의 바늘로 자극하여 작게 쪼개고 빠른 체내 흡수를 유도합니다.
하지만 플래티넘 정형외과에서는 주사기 바늘이 아닌 특허로 보호받는 특수 기구로
석회를 실질적으로 "분쇄" 몸 밖으로 제거합니다.
모두 똑같은 크기의
석회질이 아닙니다!
각 케이스별
맞춤형 흡입술 시행
수많은 임상 경험을 바탕으로 각 케이스마다 맞춤형 치료를 시행합니다.
10년 전 처음으로 주사기 석회 흡입술을 할 땐 저도 주사기로 흡입하는 치료만 했습니다.
하지만 뽑히지 않는 어려운 석회 케이스들을 만날 때마다
치료 기법을 개발하고 발전시켜 현재는 어떠한 단계의 석회도 비수술로 치료합니다.
석회분쇄흡입술 치료법을 모두 공개합니다.
하지만 공개해도 따라하지 못하는 것이 달인의 기술입니다.
CASE 01. 형성기/유지기 석회
CASE 02. 흡수기 석회
CASE 03. 다발성 석회
CASE 04. 분쇄 후 흡입
CASE 05. 힘줄손상으로 흡입 불가능한 경우
플래티넘 정형외과만의 석회분쇄흡입술
-
석회 성분을 녹이는
본원만의 주사 레시피 -
특허받은
특수 기구 -
10년 이상 석회를 치료하며
독자적인 노하우
흡입 불가 하다는말, 굳이 뽑을 필요 없다는말, 알아서 흡수된다는 말!
더 이상 그말만 믿고 통증 참지 마세요!
플래티넘 정형외과에서는 모든 단계의 석회를 바로 제거해 드리겠습니다.

카톡상담
네이버예약
블로그
유튜브
인스타그램