플래티넘클리닉

PLATINUM CLINIC

수술하던 의사가 오직 비수술치료만 합니다!

인대파열만 치료하는 병원

제대로 된 비수술 치료를 위해서는 수술치료 경험이 중요합니다.
수천건의 수술 경험을 바탕으로
인대파열 특화 비수술치료를 하고 있습니다.

플래티넘 대표시술

비수술중심주의

플래티넘 공식유튜브

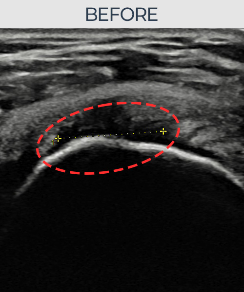
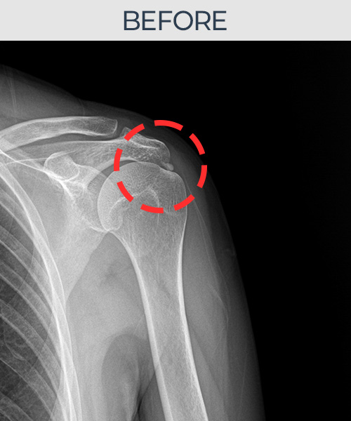
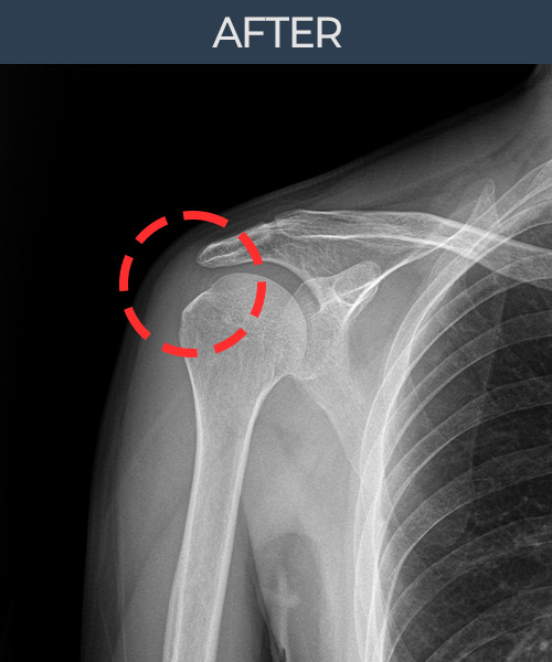
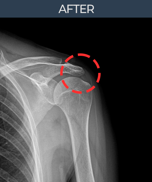
비수술 치료 전후사진

오직 인대파열만
치료합니다.


수천건의 수술 경험을 바탕으로 정확히 진단하여
인대파열을 비수술로 치료합니다.
수술을 해야만 재건이 가능한 인대파열도 있습니다.
플래티넘정형외과에서는 수술이 필요없는 인대파열만을
정확히 진단하여 특허받은 술기로 비수술로 치료합니다.

인대강화 주사가 아닌
인대재생 주사!
특허받은 인체 조직재생 노하우


1세대 포도당을 이용한 프롤로치료.
2세대 DNA PDRN 성분 3세대 콜라겐.
본원만의 특허받은 4세대 인대조직재생 성분으로
본래의 인대조직으로 재생
시켜 드립니다.

비수술로도 파열된 인대를
물리적으로 재건해 드립니다


본원만의 인대축소봉합술에 사용되는 특허로 보호받는 특수봉합사.
인대강화주사만으로는 해결되지 않던 인대파열.
플래티넘정형외과에서는 수술없이도 물리적으로
파열된 인대를 재건
하는것이 가능합니다.

당일입원 당일퇴원,
바로 일상생활 복귀가
가능합니다.


다음날 바로 일상생활 복귀 가능할만큼
신체에 부담이 적은 비수술적 치료.
부분마취로 이루어지는 시술로서, 관절경을 이용한
인대재건수술과 달리 보조기 착용이 필요없기 때문에
재활시간이 크게 단축되고 회복 속도가 빠릅니다.

PLATINUM CLINIC

진료안내 및 오시는길

진료시간 안내

  • 월,화,목,금
    AM 10:00 ~ PM 19:00
  • 토요일
    AM 10:00 ~ PM 16:00
  • 점심시간
    PM 13:00 ~ PM 14:00

* 수요일 일요일 공휴일 휴진

대표번호
02. 516. 3570

오시는길

서울 서초구 강남대로 589
멀버리힐스 메디컬타워 5층

3호선 신사역 도보 2분
오시는길 자세히 보기 +